Call today for a Complimentary Implant Evaluation!
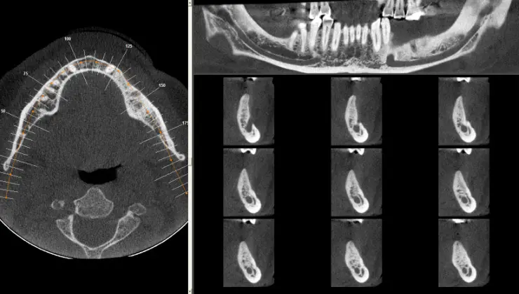
The no cost implant evaluation entails a no cost Panoramic X-ray and an examination to provide you with a treatment plan that is based on your individual needs. Your provider may request that a Cone Beam CT scan (3-dimensional dental scan) be obtained in order to further evaluate and finalize treatment planning. The fee for this scan is $200.00, which will be collected at the time the scan is taken. This scan is not typically covered by most insurance companies; however, we are happy to file a claim if requested, and you will be reimbursed if payment is rendered by your insurance.
Dedicated Implant Treatment Coordinators


